虔心祈福却换来肺部危机;长时间香火环境引发过敏性肺泡炎,专家详解防范之道。
虔心祈福却换来肺部危机;长时间香火环境引发过敏性肺泡炎,专家详解防范之道。


红星新闻
2026-03-1408:28发布于四川成都商报红星新闻官方账号
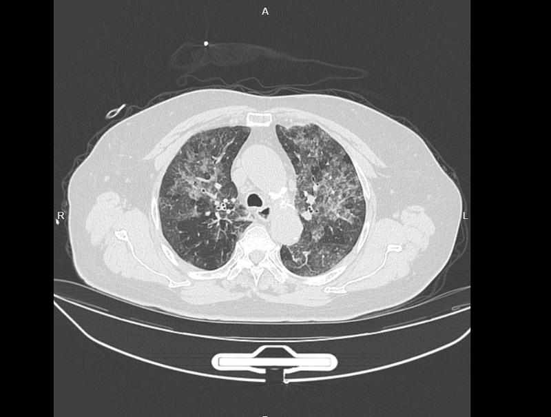
近年来,一些看似寻常的生活习惯却悄然成为健康隐患。71岁的张奶奶原本生活规律,身体素来硬朗,然而去年夏季,她突感咳嗽不止、痰多且伴有明显气促。起初以为是普通感冒,在本地医院接受抗感染治疗十余天,症状却毫无缓解迹象。无奈之下,她前往宁波大学附属第一医院呼吸与危重症学科求诊。接诊的丁群力主任医师通过胸部CT检查,发现肺部呈现大片弥漫性白影,俗称“白肺”,影像上密布细小白斑。肺功能评估仅为正常六成,稍有活动便气喘吁吁,严重影响日常生活质量。由于常规抗生素无效,且临床表现符合外源性过敏性肺泡炎特征,医生及时采用激素治疗,症状暂时得到控制,并指导患者回顾可能接触的刺激源。
数月后,张奶奶病情再度急剧恶化,咳喘程度加重,复查影像显示炎症范围扩大,各项指标明显异常。医生团队与家属共同分析发病前后生活细节,逐一排除常见诱因如家居装修粉尘、宠物亲密接触等,最终锁定一个特殊习惯:为子孙祈求福祉,她经常整日待在香火浓郁的场所。香火燃烧释放的细微颗粒在密闭空间内浓度较高,易被深吸入肺。这些颗粒刺激免疫系统,激活巨噬细胞等,引发连锁炎症反应,损伤肺泡和间质组织。丁群力医师强调,这种过度免疫应答如同“自伤”,长期持续可能导致肺纤维化等不可逆改变。患者听后深受触动,承诺今后避免类似暴露。经过持续规范干预,近期复诊显示肺部白影显著减少,肺功能接近正常八成,虽留有轻微痕迹,但恢复前景乐观,需要长期维护。
类似情况在临床中屡见不鲜。例如,80岁李大爷在乡村焚烧秸秆时吸入大量浓烟,迅速出现高热、胸闷和呼吸窘迫,甚至发展至缺氧状态。入院检查同样为双肺弥漫白影,因高龄及心脏基础疾病,进展迅猛。经激素及时干预,短期内症状明显改善,肺损伤基本消退。
丁群力介绍,外源性过敏性肺泡炎系吸入有机粉尘、烟雾或蛋白质等抗原后产生的免疫介导炎症。急性期发作猛烈,慢性期反复暴露则易纤维化。诱发因素多样,除香火和秸秆烟外,还包括装修粉尘、喷漆气体、禽畜毛屑、真菌孢子、工业润滑烟雾等,常与暴露强度和时长相关,个体敏感性差异大。不同于感染性肺炎,此病多为干咳少痰、劳力性气促、偶有发热,抗生素无效,激素抗炎为核心治疗。预防重在源头控制:接触潜在风险时佩戴合适口罩,从事相关活动者定期体检。一旦出现持久咳嗽或气短,及早就诊可有效阻断进展,避免严重后果。通过这些案例,公众应认识到,传统习俗虽寄托情感,但健康需科学守护。

